Laser Microdissection
-
Financed by UNIK Synthetic Biology
-
UV-A pulsed dissection laser with less than 1µm diameter
-
dissects fresh/live and fixed/embedded material in a freely selectable region of interest
-
contact-free catapult transfer into collection device
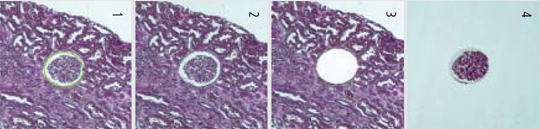
Kidney tissue section on a MembraneSlide (Source: Carl Zeiss) 1 outline of selected cell area; 2 laser cutting of area; 3 slide after laser action; 4 selected cell area inside the collection device
Details
Microscope
Laser Microdissection PALM-Microbeam, Carl Zeiss
Location
Frederiksberg Campus, Department of Plant and Environmental Sciences, Thorvaldsensvej 40, stair 4, 1. Floor, room R121
Typical applications
Collection of genetic material and metabolite contents from single cells or small cell groups and transfer into collection device for further analysis such as RT-PCR and mass spectrometry
Consultation and collaboration
Training and problem reporting
Booking
Online via PPMS